Using condoms is one way to prevent diseases that could possibly be transmitted through sexual intercourse. This could prevent diseases such as AIDS, Hepatitis B and C as well as HIV that needs immediate treatment. 


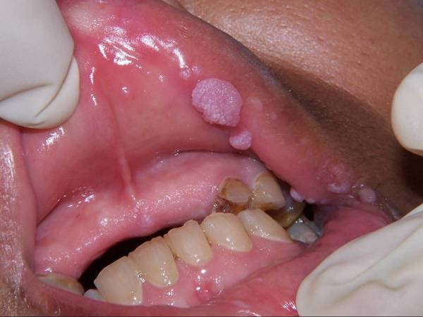
However, there is a disease that could possibly spread out even if they are using a condom. This is the disease called Human Papilloma Virus or the HPV. Dr. Nelly Mugo who is an expert when it comes to diseases such as STI said, “Condoms offer 60 per cent of HPV, thus the virus can spread through skin-to-skin contact with infected areas of the skin not covered by the condom such as the scrotum, anus, or vulva.”



There are a lot of types of HPV more than 100 exists, about 13 of them could possibly cause cancer. The only way to be safe from this is to remain abstinent and monogamous with their partners. 


Source; Nucleus Medical Media

What can you say about this article? Share us your thoughts below. 
 
Top